<--前へ  トップへ  次へ-->

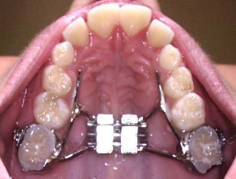
急速拡大装置

急速拡大装置

口蓋の真ん中のネジを少しづつ回して,歯列を拡大します(逆に回せば縮小します)車のジャッキと同じです